
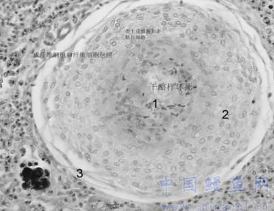
坏死灶典型的三层固定结构
诺卡氏菌病和迟缓爱德华氏菌病是池塘养殖海水鱼,如海鲈鱼、尖吻鲈、紫红笛鲷、金鲳鱼、大黄鱼等的重要疾病,共同症状是发病鱼内脏器官都出现“白点”症状,两种病的发病水温也很接近,在临床诊断上经常混淆,通过比较发病症状、菌落特征、革兰氏染色特征、印片观察和组织病理切片观察,可以对两种病区别诊断,达到正确防治的目的。
发病鱼症状区别
诺卡氏菌病:病鱼解剖后明显可见脾脏、肾脏、肝脏等内脏器官上有大小不一的白色结节,有的病鱼肌肉、鳃丝上也可以看到有白色结节,结节突出器官表面,而且摸起来较硬。
迟缓爱德华氏菌病:解剖病鱼后,仔细观察可见病鱼的肝脏、脾脏、肾脏表面有很多针尖大小的白点,一般需要仔细才能看得见;质地较软,一般也不突出器官表面。
培养基上菌落特征
诺卡氏菌:在TSA培养基上形成白色沙粒状菌落;菌落粗糙易碎,边缘不整齐,偶尔在表面形成皱褶;实验室对诺卡氏菌进行分离需在25℃的条件下培养至少4天以上。
迟缓爱德华氏菌:在普通营养琼脂培养基上形成圆形、隆起、灰白色、湿润并带有光泽、呈半透明状的菌落,直径约为0.5mm~1.0mm;实验室对迟缓爱德华氏菌进行分离需在25℃的条件下培养24小时。
革兰氏染色对比
诺卡氏菌:为革兰氏阳性菌,革兰氏染色菌体呈紫色。
迟缓爱德华氏菌:为革兰氏阴性菌,革兰氏染色菌体呈红色。
印片对比
诺卡氏菌病:对病变组织或者结节做组织印片或涂片可发现分枝串珠样菌丝体。
迟缓爱德华氏菌病:组织印片一般不容易观察到菌体。
病理切片比较
诺卡氏菌病:对病灶进行病理切片观察可发现各内脏器官存在大量的结节性坏死灶,且该坏死灶具有典型的三层固定结构。同时也可发现串珠样诺卡氏菌体。
迟缓爱德华氏菌病:对病灶进行病理切片观察不具有典型的三层固定结构,有时可发现多处坏死灶(如图中画圈处)和黑色素巨噬细胞中心。(作者:高雪文)
中国鳗鱼网报道
_副本(12).jpg)

中国鳗鱼网(www.chinaeel.cn)所刊登的所有内容,包括但不限于图片、文字及多媒体形式的新闻、信息等,未经著作权人合法授权,禁止一切形式的下载、转载使用或者建立镜像。获得合法授权的,应在授权范围内使用,必须为作者署名并注明“来源:中国鳗鱼网”字样。违反上述声明者,本网将依法追究其相关法律责任。

